AACD Accredited Dentist
West LA Implants is led by Dr. Barriere, a member of the American Academy of Cosmetic Dentistry, the American Academy of Implant Dentistry, and the ADA.

West LA Implants Is Committed to Excellence with Technology, Passion, and Superior Care.
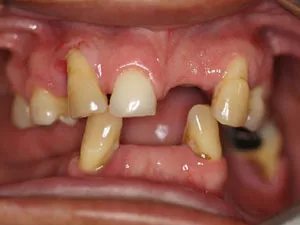
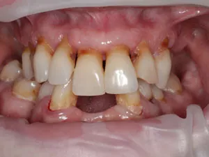
Before and After Photos










Implant and Cosmetic Dentist Serving Los Angeles, CA
Testimonial Stories From Those Who Entrusted Us With Their Care




"I love West LA Implants. Everyone is so kind and patient. Answered all my questions and did the most amazing job. Decided to make this my primary dental office. Thank you so much team!! You guys are the best"
Tina D.
Clinic Patient


We Provide The Care You Need At A Cost You Can Afford

A dental implant is made up of three parts: a titanium or ceramic post, an abutment, and a restoration. Built to function like natural tooth roots, dental implants provide bone support and a stable foundation for a single dental crown, a dental bridge, a denture, or a full arch prosthesis.
Dental implants are the only permanent tooth replacement option, and they’re designed to last for decades. Because they are surgically inserted into the jawbone, they provide health and functional benefits comparable to natural teeth.
Dental implants have achieved a consistently high success rate (over 95%) since their introduction decades ago. Greater success is achieved through a combination of surgical technology, high-quality materials, clinical experience, and long-term maintenance.
Many patients are candidates for dental implants already or can qualify after receiving preparatory treatments like bone grafting and tooth extractions. Candidacy is more accurately determined after comprehensive consultation and evaluation with an implant dentist.
The cost of dental implants is based on many factors, including how many teeth are missing and for how long, the types of materials used, and what additional procedures are needed. Our team can help you apply for dental financing and will file insurance claims on your behalf to help you afford treatment.
Dental implant surgery is completed while you are under sedation. You will feel no pain, and you may even sleep lightly through your procedure! Most patients have no memory of their appointment or the procedure.
Dental implants are designed to last for decades, and have the potential to last for the rest of your life! Surgical technology and clinical experience, along with healthy habits, ultimately affect the longevity of your implants. Choosing an experienced implant team like ours at West LA Implants provides more precise and accurate surgery that better guarantees the long-term success of your treatment.
West LA Implants offers the newest, highest-end technology in our Los Angeles office, and Dr. Barriere is committed to continuing his education. That’s why he completed more than 300 hours of continuing education in 2021, on his mission to never stop learning.
Get A Free Consulation

























